Neue Ansätze und Tests Veränderte Blutgefäße sollen Aufschluss auf Long-Covid geben

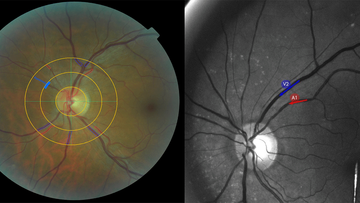
Bei Menschen mit Long Covid sind die gemessenen Durchmesser kleinster Blutgefäße (links) und die Erweiterung der Gefäße als Reaktion auf die Lichtimpulse (rechts) verändert.

© Abteilung für Nephrologie Klinikum rechts der Isar / TUM

Zehn bis 35 Prozent der Menschen leiden nach einer Corona-Infektion an Long- beziehungsweise Post-Covid. Nach Angaben der TU München könnte eine standardisierte Augenuntersuchung in Zukunft verraten, ob Menschen betroffen sind. Bislang seien keine körperlichen Merkmale, sogenannte Biomarker, bekannt, anhand derer sich Long-Covid sicher diagnostizieren lasse, heißt es. Aber: Bei der Studie zeigen besonders zwei Werte einen starken Zusammenhang mit der Erkrankung. Zum einen waren Arteriolen, also kleinste Arterien, im Vergleich zur gesunden Kontrollgruppe deutlich verengt. Zum anderen zeigten Venolen eine veränderte Reaktion auf Lichtreize. Leuchte man mit einem flackernden Licht ins Auge, erweitern sich die Blutgefäße. Bei Patienten mit Long-Covid sei diese Reaktion nach Angaben des Forscherteams deutlich verringert gewesen.

Kleine Blutgefäße (noch) zu wenig erforscht

Das Problem: Bislang wurden vor allem große Blutgefäße erforscht. „90 Prozent der Endothelzellen des Körpers befinden sich aber in kleinen und kleinsten Äderchen. Was mit diesen Blutgefäßen bei Long-Covid geschieht, ist kaum bekannt“, sagt Studienleiter Prof. Christoph Schmaderer, Geschäftsführender Oberarzt in der Abteilung für Nephrologie des Klinikums rechts der Isar, Universitätsklinikum der TUM. Zudem können aufgrund der geringen Teilnehmeranzahl (41) noch keine zuverlässigen Tests auf Post-Covid abgeleitet werden, heißt es weiter. Aus Sicht der Forschenden sind weitere Studien notwendig, um die Ergebnisse zu verifizieren. „Ich bin zuversichtlich, dass auf Grundlage unserer Ergebnisse ein Werkzeug entwickelt werden kann, um Long-Covid sicher zu diagnostizieren“, sagt Schmaderer. „Wir gehen zudem davon aus, dass die Mikrozirkulation nicht nur im Auge, sondern auch in anderen Teilen des Körpers eingeschränkt ist. Dadurch könnte die Methode insbesondere dafür geeignet sein, um die Wirksamkeit zukünftiger Therapien für Long-Covid zu beurteilen.“ Einen zusätzlichen Anhaltspunkt sehen die Forscher in den anhaltenden Entzündungsreaktionen und den dadurch gemessenen Entzündungsmarkern im Blut.

Die Studie wurde unter dem Titel "All Eyes on PCS - Analyse der retinalen Mikrogefäßstruktur bei Patienten mit Post-Covid-19-Syndrom" registriert und durch das Bayerische Staatsministerium für Wissenschaft und Kunst finanziert.

Geschrieben von

DOZ Redaktion

Redaktion

Unser Redaktionsteam ist das Gesicht des DOZ-Verlags – nah an der Branche, kritisch im Blick, präzise in der Recherche. Mit fachlicher Tiefe, journalistischem Anspruch und einem echten Gespür für relevante Themen.

Zum Autorenprofil