Opti Selfie

Aus der Branche

Impulse aus der Branche für die Branche mit exklusiven Einblicken hinter die Kulissen. Was bewegt die Augenoptik heute – und morgen? Wir fragen für Sie nach, kritisch, unabhängig, und immer mit dem Ziel, Klarheit zu schaffen, wo andere nur Schlagzeilen liefern.

Aktuelle Beiträge aus der Branche

Kai Jaeger und Christian Müller

Verabschiedung

Christian Müller mit ZVA-Ehrenzeichen in Gold gewürdigt

Nicole Bengeser

Ein Artikel von Nicole Bengeser

Bei der Mitgliederversammlung des Zentralverbands der Augenoptiker und Optometristen (ZVA) in Lübeck Anfang März wurde der bisherige Präsident Christian Müller mit dem Ehrenzeichen in Gold ausgezeichnet und zum Ehrenpräsidenten ernannt.

Aus der Branche
  • weiterlesen

    „Das funktioniert hier auch, wenn man nicht verheiratet ist“

    Augenärztin und Augenoptiker harmonieren beruflich und privat

    Dr. med. Renate Jurek-Becker und Michael Becker kennen sich seit 1990: Sie war in der Augenarztpraxis im gleichen Gebäude tätig und wollte als Brillenträgerin bei Becker Optik in Neuwied eine Sonnenbrille kaufen. Augenärztin und Augenoptiker kamen ins Gespräch, trafen sich privat und heirateten schließlich 1996. Die beiden haben einen 26-jährigen Sohn, dessen Augen vermutlich die bestuntersuchtesten deutschlandweit sind.
    Aus der Branche
  • weiterlesen

    Die wesentlichen Ergebnisse der Branchenstrukturerhebung

    ZVA: Betriebe arbeiten effektiver, Konzentration schreitet fort

    Etwa alle vier Jahre führt der ZVA eine Branchenstrukturerhebung durch, so auch wieder zum Ende des Jahres 2023. Zum wiederholten Mal wurde die aktuelle Erhebung gemeinsam mit der GfK an NIQ Company (ehemals: Gesellschaft für Konsumforschung, Nürnberg) durchgeführt. Sigrun Schmitz, Abteilungsleiterin Betriebswirtschaft/Krankenkassen beim ZVA, fasst hier die wichtigsten Ergebnisse zusammen.
    Aus der Branche
  • weiterlesen

    Wechsel auf CFO-Position

    Neuer Fielmann-Finanzvorstand: Bätjer folgt auf Zeiss

    Steffen Bätjer ist seit 1. Januar 2024 neuer Finanzvorstand (CFO) der Fielmann Group AG. Sein Vorgänger Georg Alexander Zeiss wechselt in den Aufsichtsrat und übernimmt Verantwortung in den Beteiligungsgesellschaften der Familie Fielmann.
    Aus der Branche
  • weiterlesen

    Zarte Pflänzchen gesetzt, die nun großgezogen werden müssen

    Opti-Refresh: Alles neu oder was?

    Januar, München, Opti – ein Dreiklang, der seit einer gefühlten Ewigkeit den Auftakt des augenoptischen Jahres darstellt. Und doch ist in knapp zwei Wochen irgendwie vieles anders. Zumindest ist dies die Erwartung von Ausstellern und Besuchern. Schließlich wird sich ab dem 12. Januar in den Hallen der Messe München zeigen, inwieweit die Bemühungen der Messe-Organisatoren, näher an die Branche heranzurücken, zuzuhören sowie neu- und umzudenken, Früchte getragen haben.
    Aus der Branche
  • Konstruktionszeichnung
    weiterlesen

    „Das Wissen darf nicht verlorengehen“

    Forschungsprojekt INORA soll Optikgeschichte Rathenows aufarbeiten

    Das neue Forschungsprojekt „INORA“ soll die Optikgeschichte Rathenows systematisch aufarbeiten. Projekteiter Professor Justus Eichstädt hat sich dafür eine erfahrene Expertin ins Team geholt: Dr. Bettina Götze, ehemalige Chefin des Optik-Industrie-Museums, wird in Archiven recherchieren, Exponate sichten und den Wissenstransfer von Zeitzeugen organisieren. Letztlich soll das Projekt die Weiterentwicklung des Optik-Standorts und die Identifikation der Menschen in der Region Rathenow befördern.
    Aus der Branche
  • weiterlesen

    Deutscher Designer

    KGS: Thomas Rath ist Brillenträger des Jahres 2023

    Das Kuratorium Gutes Sehen (KGS) hat Thomas Rath zum „Brillenträger des Jahres 2023“ ernannt. Der Modeunternehmer hege eine Leidenschaft für ausdrucksstarke Brillen und sei sich dem Thema Augengesundheit bewusst.
    Aus der Branche

Mehr Sehen. Mit DOZ+

Zum DOZ+ Bereich
Rentnerrunde

Schrumpfende Kernzielgruppe

Wachstum war gestern: Warum Gleitsicht jetzt Strategie braucht

Wilm Sternemann

Ein Artikel von Wilm Sternemann

Das Wachstum der vergangenen Dekade war kein Beweis unternehmerischer Stärke, sondern ein demografischer Automatismus. Jetzt endet dieser Effekt – und es zeigt sich, wer wirklich steuern kann, sagen Wilm und Timo Sternemann in diesem Gastbeitrag. Die wachsende Generation 70+ verlange andere Kommunikation, andere Prozesse, andere Markenführung: „Wer sich nicht neu erfindet, wird verlieren. Wer es tut, gewinnt erstmals echtes, selbst erarbeitetes Wachstum.“

Aus der Branche
  • Johannes Schubart, David Friederichs und Maria Theresa Beuschel
    weiterlesen

    „Exklusivität allein trägt das Konzept nicht“

    Zu Besuch bei Optiswiss in Basel – das Exklusivkonzept unter der Lupe

    Wachsender Preisdruck, vertikale Strukturen und ein zunehmend unübersichtlicher Markt setzen inhabergeführte Augenoptikbetriebe unter Druck. Der Schweizer Brillenglashersteller Optiswiss setzt diesen Entwicklungen seit 2022 ein Exklusivkonzept entgegen, das auf Verbindlichkeit,  Gebietsschutz und klare Positionierung zielt. Drei Jahre später zeigt sich: Die Dynamik im Markt hat weiter zugenommen. Beim Besuch in Basel sprechen die Optiswiss-Verantwortlichen über strukturelle Veränderungen, unternehmerische Entscheidungen – und warum der eingeschlagene Weg ein Langstreckenlauf ist.

    Aus der Branche Optik & Technik
  • Rodenstock und Lisa Meinl
    weiterlesen

    Sechsstellige Testzahlen und Tausende Prototypen später

    Hinter den Kulissen: Rodenstock entwickelt neue phototrope Brillengläser

    Rodenstock stellt „ColorMatic X“ und „ColorMatic Dark“ als neue phototrope Brillengläser vor – das Ergebnis von mehr als 35 Jahren Forschung. Im exklusiven DOZ-Interview geben Dr. Dietmar Uttenweiler (Executive Vice President Innovation), Markus Ilmer (Director Center of Product Excellence) und Dr. Christoph Traulsen (Director R&D Materials) Einblicke in die Entwicklung: vom Zusammenspiel über Produktionsprozesse bis hin zum Ziel, ein Glas zu schaffen, das schnell reagiert, innen klar bleibt und physikalische Grenzen gezielt berücksichtigt.

    Optik & Technik Aus der Branche
  • Hoya x Skleo
    weiterlesen

    Nach Kooperation mit Hoya soll Branche aktiver mitgenommen werden

    Skleo Health mit seltenem Eingeständnis der eigenen Naivität

    Es war eines der meistdiskutierten Themen im vergangenen Jahr: Skleo Health und das Screening-Angebot in ausgewählten dm-Märkten. Die DOZ hatte gleich nach Bekanntwerden einen Selbsttest gemacht, Skleo selbst wollte sich zu diesem Zeitpunkt nicht öffentlich äußern. Ein Fehler, wie die Verantwortlichen heute rückblickend einräumen. Die auf der Opti bekanntgegebene Kooperation mit Hoya und eine verbesserte Kommunikation in Richtung der Augenoptikerinnen und Augenoptiker soll nun für neues Vertrauen sorgen.

     

    Aus der Branche
  • Schwarze Schafe
    weiterlesen

    Von schwarzen Schafen bislang keine Spur

    Augenoptik beim Abrechnungsbetrug im Gesundheitshandwerk außen vor

    Abrechnungsbetrug bei Hilfsmitteldienstleistern ist ein Delikt mit hoher Dunkelziffer. Augenoptikbetriebe sind zwar bislang kaum in Fällen der Abrechnungsmanipulation erfasst worden. Dennoch stehen sie im Spannungsfeld zwischen Bürokratie, komplexen Abrechnungsprozessen und dem eigenen Anspruch auf Qualitätssicherung. Die DOZ hat einen Blick auf rechtliche Grundlagen, typische Fehlerquellen und die viel diskutierte Rolle der Präqualifizierung im Hilfsmittelsystem geworfen.

    Aus der Branche Betrieb & Praxis
  • Lupe
    weiterlesen

    „Über eine Strafanzeige wird im Einzelfall entschieden“

    Abrechnungen: Augenoptik kämpft eher mit Regeln als mit Betrug

    Abrechnungsbetrug in der Augenoptik? Daniel Konieczny, bei der Debeka Abteilungsleiter für den Leistungsprozess der Krankenversicherung, erklärt im Interview, warum gerade die Private Krankenversicherung (PKV) Manipulationen begünstigen kann und welche typischen Fehler in der Hilfsmittelabrechnung auftreten. Er spricht über Prüfmechanismen, Rückforderungen und mögliche Konsequenzen – und gibt konkrete Tipps, wie Augenoptiker ihre Abrechnung sicher und korrekt gestalten können.

    Aus der Branche Betrieb & Praxis
  • Gruppenfoto von der Tagung des Low Vision Kreises in Dietzenbach
    weiterlesen

    Nach der Tagung ist vor der Tagung

    Wenn Expertise auf Zusammenhalt trifft: Besuch beim Low-Vision-Kreis

    Raus aus der Nische, rein in den Mittelpunkt: Low Vision ist für viele in der Augenoptik immer noch ein Randthema. Dagegen steht im Low-Vision-Kreis, einem Verein mit etwa 45 Mitgliedsbetrieben, das Thema im Zentrum. Zweimal jährlich kommen spezialisierte Augenoptikerinnen und Augenoptiker zusammen, um Wissen zu teilen und neue Impulse zu erhalten. Dieser Austausch gibt den Mitgliedern Energie und bietet durch das gemeinsame Verständnis für Low Vision genau den Rückhalt, den sie für die Beratungen im Alltag brauchen.

    Aus der Branche

E-Learning & Präsenzveranstaltungen

Ob live oder auf Abruf, online oder in Präsenz: Auf dem COE Campus finden Sie immer das passende Angebot für Ihre Fortbildung. 

Zum COE Campus
  • Live Kurs
    21.03.2026 - 14.02.2027, Ganztägig

    Optometrist (HWK) - digital -

    Dr. Sven Mucke, Olaf Müller, Martin Winter, Stephan Weinrich, Eva-Maria Brötje, Nico Röwert

    4890,00€ Mehr Infos
  • Live Seminar
    23.03.2026, 10Uhr - 12Uhr

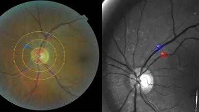
    Kurz & knapp: Netzhautanalysen Teil 3: Erkrankungen der Blutgefäße

    Carolin Truckenbrod

    59,00€ Mehr Infos
  • Live Seminar
    24.03.2026, Ganztägig

    Raus aus der Vergleichbarkeit: Ihr Weg zur unverwechselbaren Optiker-Marke: Intensiv-Aktiv-Workshop Positionierung

    Christina Flegl

    249,00€ Mehr Infos
  • Live Seminar
    24.03.2026, 18Uhr - 18:30 Uhr

    Saure-Gurken-Zeit voraus, oder einfach nur vorsichtige Kunden? – Zeit für fluffige Screeningmodelle?

    Max Wallwitz, Amir Parasta

    0,00€ Mehr Infos
  • Live Webinar
    25.03.2026, 12Uhr - 12:30 Uhr

    Erfolgreich beraten – sicher anpassen: mit der MyDay®-Familie

    Lena Petzold

    0,00€ Mehr Infos
  • Live Webinar
    25.03.2026, 13Uhr - 14:30 Uhr

    Online-Marketing - Fragen und Antworten rund um den Auftritt im Internet

    Anna-Lena Band

    25,00€ Mehr Infos
  • Live Webinar
    25.03.2026, 18Uhr - 19Uhr

    Modernes OCT Imaging mit IMAGEnet

    Carsten Grohmann

    0,00€ Mehr Infos
  • Live Webinar
    26.03.2026, 09Uhr - 10Uhr

    Mehr Erfolg mit multifokalen Kontaktlinsen in der Praxis

    Kerstin Meckel, Rafael Czaja

    0,00€ Mehr Infos
  • Live Webinar
    26.03.2026, 12:30 Uhr - 13:30 Uhr

    Alcon Insight: Precision7®

    Referierende der Alcon Experience Academy

    0,00€ Mehr Infos
  • Live Webinar
    26.03.2026, 13Uhr - 13:45 Uhr

    KeraSoft von ultravision - die weiche Alternative für Keratokonus und andere irreguläre Hornhäute

    Verena Hardt

    0,00€ Mehr Infos
  • Live Webinar
    30.03.2026, 19:30 Uhr - 20:15 Uhr

    Info-Abend: Screening setzt Expertise voraus! (Oder etwa nicht?!)

  • Live Webinar
    01.04.2026, 18Uhr - 19Uhr

    Myopie: Risiken für die Augen effizient erklärt

    Hans-Jürgen Grein

    0,00€ Mehr Infos
  • Meisterkurs
    23.03 - 25.09.2026, Ganztägig

    Augenoptik Meisterkurse Teil I und II - Vollzeit

    9950,00€ Mehr Infos
  • Glas
    23. - 25.03.2026, Ganztägig

    Azubi Training kompakt! - Produkt-Know-how - Verkaufs-Know-how

    Lutz Villnow

    690,00€ Mehr Infos
  • Optometrie
    23.03.2026, 09Uhr - 17Uhr

    Pentacam® Anwender-Seminar für Augenoptiker/Optometristen

    Simon Jäkel, Pauline Sauer

    395,00€ Mehr Infos
  • Optometrie
    24.03 - 03.04.2026, Ganztägig

    Master Professional: Module Entrepreneurship & Statistik

    Dozenten der Akademie der Augenoptik

    1520,00€ Mehr Infos
  • Meisterkurs
    24.03.2026 - 28.01.2028, Ganztägig

    Meistervorbereitungskurs in Teilzeit

    Dozenten der Optonia

    13030,00€ Mehr Infos
  • Optometrie
    24.03.2026, 09Uhr - 17Uhr

    Professionelle Refraktion mit dem Vissard 3D

    Stephan Degle

    395,00€ Mehr Infos
  • Unternehmensstrategie
    28. - 29.03.2026, Ganztägig

    Praxis-Seminar zum "Qualitäts-Gütesiegel Sehzentrum"

    Martin Wörner, Thorsten Boss

    695,00€ Mehr Infos
  • Optik und Technik
    28. - 29.03.2026, Ganztägig

    Refraktion - Kreuzzylinder

    Anke Steinhardt

    348,00€ Mehr Infos
  • Optik und Technik
    30.03.2026, 09Uhr - 16Uhr

    Kreuzzylinder Praxistag

    Thomas Nagel

    174,00€ Mehr Infos
  • Kontaktlinse
    01. - 30.04.2026, Ganztägig

    Scleral-Kontaktlinsen-Seminar

    Natascha Wohler, Jana Herzner, Manuel Kretz

    990,00€ Mehr Infos
  • Kontaktlinse
    01. - 30.04.2026, Ganztägig

    Orthokeratologie-Seminar

    Natascha Wohler, Jana Herzner, Manuel Kretz

    990,00€ Mehr Infos
  • Hörakustik
    01.04.2026, Ganztägig

    Tinnitus-Workshop

    Dozententeam der Akademie für Hörakustik

    545,00€ Mehr Infos
  • Optometrie

    Weitblick oder Tiefgang? – Die Zukunft des Netzhautscreenings erleben und richtig anwenden

    Max Wallwitz, Amir Parasta, Justus Fabi

    0,00€ Mehr Infos
  • Optometrie

    Weitblick oder Tiefgang? – Die Zukunft des Netzhautscreenings erleben und richtig anwenden

    Max Wallwitz, Amir Parasta, Justus Fabi

    0,00€ Mehr Infos
  • Unternehmensstrategie

    Das war´s schon? Nur AMD, Diabetes oder Glaukom? Nein - was KI alles aus der Netzhaut kitzeln kann...

    Max Wallwitz, Amir Parasta

    0,00€ Mehr Infos
  • Unternehmensstrategie

    Die Netzhaut und ihre Buddys – vernetztes Sehen verstehen

    Max Wallwitz, Amir Parasta, Anna Hartl, Lena Wehner

    0,00€ Mehr Infos
  • Optometrie

    Jedes Screening schafft Wert – wie viel Umsatz lassen Sie noch liegen?

    Max Wallwitz

    0,00€ Mehr Infos
  • Optometrie

    Mit Deep VISION AI zur optimalen Brillenberatung – wie KI Sie dabei unterstützt

    Max Wallwitz, Amir Parasta

    0,00€ Mehr Infos
  • Optometrie

    Direkter Draht zum Arzt – mit Brydge Rückfragen schnell klären

    Amir Parasta, Max Wallwitz

  • Optometrie

    Medizinische Expertise auf Abruf: Wie epitop Brydge Optikern zwei Kontaktwege bietet

    Max Wallwitz

  • Kontaktlinse

    Part 1: Toric – Praxisnah & effizient anpassen

    Björn Eric Siewert

    0,00€ Mehr Infos
  • Optometrie

    Superheroes of Sclerals (E)

    Brian Tompkins

    30,00€ Mehr Infos
  • Optometrie

    Médicaments diagnostiques en pratique optométrique : une situation gagnant-gagnant pour la Suisse ! (A)

    Daniela Nosch

    30,00€ Mehr Infos
  • Optometrie

    Perte de vision liée à l’âge : hypoxie, métabolisme énergétique et thérapie génique (A)

    Christian Grimm

    30,00€ Mehr Infos
  • Optometrie

    Rouge ou bleu – qu’est-ce qui freine la myopie? (A)

    Frank Schaeffel

    30,00€ Mehr Infos
  • Optometrie

    Exploitez vos ressources intérieures grâce à l’hypnose – de la préparation à l’opération au sport de haut niveau (A)

    Barbara Schmidt

    30,00€ Mehr Infos
  • Optometrie

    Présentations de cas : lentilles de contact et vision binoculaire (D/F)

    Seonaid Collins, Simone Pinana, Roger Borner

    30,00€ Mehr Infos
  • Optometrie

    Super-héros des lentilles sclérales (ANG)

    Brian Tompkins

    30,00€ Mehr Infos
  • Optometrie

    Les aspects cachés de l’adaptation des lentilles de contact (F)

    Philippe Seira

    30,00€ Mehr Infos
  • Optometrie

    Dépannage dans l’adaptation des lentilles sclérales (A)

    Alex Ziörjen

    30,00€ Mehr Infos
  • Optometrie

    Synchronisation œil–cœur: développement d’une tomographie par cohérence optique résolue dans le temps avec couplage électrocardiographique (A)

    Philippe Valmaggia

    30,00€ Mehr Infos
  • Optometrie

    Rétine périphérique : que peut-on y observer ? Qu’est-ce qui est normal et qu’est-ce qui doit être adressé rapidement à l’ophtalmologue ? (A)

    Nicolas Feltgen

    30,00€ Mehr Infos

Weitere Beiträge aus der Branche

Jaguar, Joop! und Morgan

Design Eyewear Group übernimmt Marken von Menrad

Die Design Eyewear Group übernimmt ab dem 10. Juni 2025 zentrale Marken des insolventen Brillenherstellers Menrad – darunter Jaguar, Menrad, Joop! und Morgan. Zehn Außendienstmitarbeiter wechseln mit zum neuen Eigentümer.
Aus der Branche

Zuwachs in der Medizinprodukteberatung

Eyetec verstärkt das Team mit Sophie Kleinert

Sophie Kleinert ist als Medizinprodukteberaterin für die Eyetec GmbH tätig. Sie wird den östlichen Raum Deutschlands betreuen.
Aus der Branche

An der TH Brandenburg

Optomeetry-Treffen zur Zukunft der Optometrie

Rund 30 Studierende trafen sich zur fünften Optomeetry an der Technischen Hochschule Brandenburg, um sich mit Fachleuten aus Industrie, Praxis und Forschung zur Zukunft der Optometrie auszutauschen. Im Fokus standen Themen wie Fortbildung, Existenzgründung und neue Anforderungen an das Berufsbild. Das nächste Treffen der VDCO Young findet am 11. Oktober 2025 im Rahmen des VDCO Studi-Forums auf der Sichtkontakte statt.
Aus der Branche